Wisdom Teeth Extractions

Wisdom Teeth Extractions

Do you have pain caused by incoming wisdom teeth? It is very common and we can help.

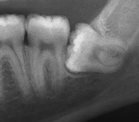
Wisdom teeth usually erupt between the ages of 14 and 30 and can cause extreme discomfort in some people. They can cause the jaw and surrounding gums to feel swollen and uncomfortable. In more extreme situations, they can cause more severe issues such as infection or permanent shifting of the teeth.

At Hullmark Dental we examine your wisdom teeth and depending on the location, direction of eruption and proximity to vital nerves, we may recommend extraction. In very extreme cases we may refer you to an oral surgeon where you would have the option of general anaesthesia to remove your teeth.

We don’t only extract wisdom teeth. We are very capable of extracting any tooth in the jaw.

Contact Infromation

+1 (416) 733 7733
info@hullmarkdental.com
Hullmark Centre, 4773 Yonge St., UNIT 3E, North York, ON, M2N 0G2